Author: Karina Fresneda DVM DiplACVP
The patient was a 3-year-old neutered male Pug that presented for evaluation of a slowly progressive, mildly raised, darkly pigmented plaque located on the ventral abdomen, left lateral region. The lesion had been present for approximately six months and had gradually enlarged, but there was no reported pruritus or ulceration. No other systemic abnormalities were noted.
On gross examination, the lesion was well-demarcated, slightly elevated, firm, and ovoid, measuring 1.1 cm in diameter. It was dark brown to black with a rough papillomatous surface. There was no ulceration, erythema, or exudate.
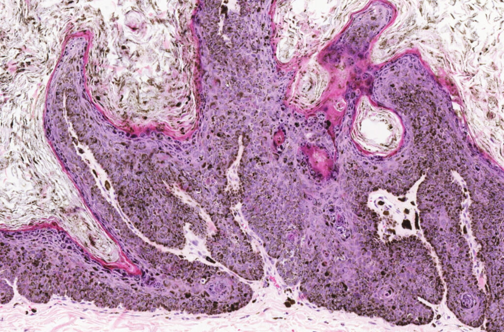
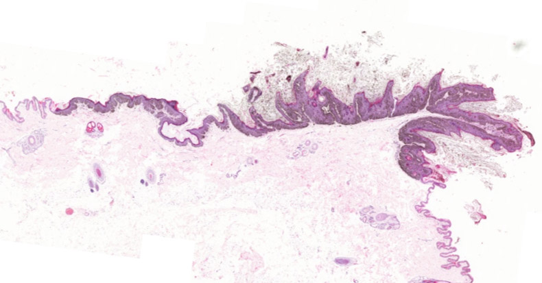
Microscopic examination of haired skin sections revealed a well-demarcated area of marked papillomatous epidermal hyperplasia and moderate hyperkeratosis, consisting of both orthokeratotic and parakeratotic forms. The epidermis showed hypergranulosis with enlarged keratohyalin granules, and keratinocytes exhibited koilocytosis with swollen pale cytoplasm and perinuclear clearing. There was prominent melanin deposition within all epidermal layers and a few melanophages in the superficial dermis. The underlying dermis contained minimal perivascular lymphoplasmacytic infiltrate without significant fibroplasia, ulceration, or other abnormalities.

The diagnosis was pigmented viral plaque of the ventral abdominal skin.
Pigmented viral plaques are associated with papillomavirus infections in dogs, typically involving CPV-3, CPV-4, CPV-5, CPV-8, CPV-9, CPV-10, CPV-11, CPV-14, or CPV-18. Breeds such as Pugs, French Bulldogs, and Miniature Schnauzers are especially predisposed. These lesions tend to occur on the ventral abdomen, ventral thorax, inguinal region, or limbs and may be solitary or multifocal. The condition is generally benign, although plaques may persist for years. A subset of cases can progress to squamous cell carcinoma, particularly in immunocompromised dogs, so monitoring is advisable. Definitive identification of the viral type requires PCR sequencing, and immunohistochemistry for papillomavirus antigen can support the diagnosis when inclusions are subtle. Treatment is usually unnecessary unless lesions are extensive or cosmetically concerning; options include surgical removal, imiquimod, or laser ablation.

References
Gross TL, Ihrke PJ, Walder EJ, Affolter VK. Skin Diseases of the Dog and Cat: Clinical and Histopathologic Diagnosis. 2nd ed. Blackwell Publishing; 2005.
Scott DW, Miller WH, Griffin CE. Muller & Kirk’s Small Animal Dermatology. 6th ed. W.B. Saunders; 2001.
Munday JS, Kiupel M. Papillomaviruses in dogs and cats. Vet Clin Pathol. 2010;39(1):1–16.
Reece RL. Dermatopathology in Animals. CRC Press; 2015.
Orlandi M., Mazzei M, Albanese F, Pazzini L, Mei M, Lazzarini G, Forzan M, Massaro M, Vascellari M, Abramo F. Clinical, histopathological, and molecular characterization of canine pigmented viral plaques. Vet Pathology. Volume 60, Issue 6, November 2023, Pages 857
Jubb, Kennedy and Palmer’s. Pathology of Domestic Animals. Volume 1. Sixth edition. 2016